Dental TOUR
PROCEDIMIENTO
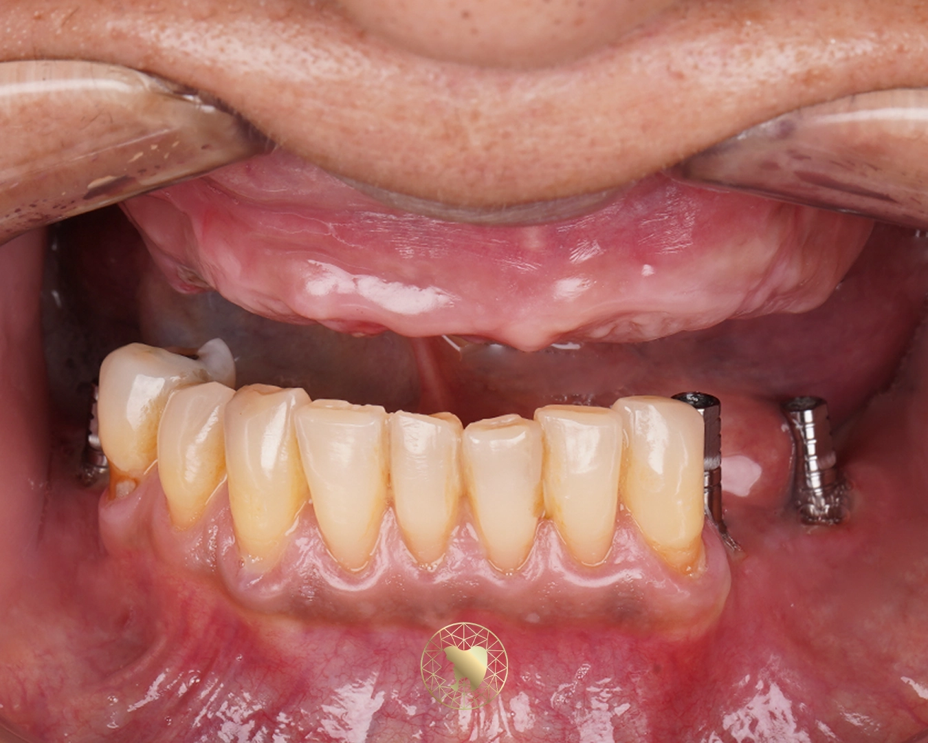
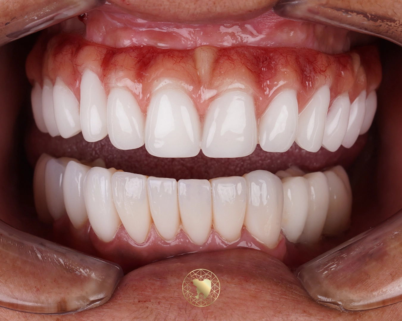
La Dra. Jare se encargara de tu sonrisa.
TRANSPORTE
Trayecto del aeropuerto, consultorio y hotel.
HOTEL
Hospedaje en hotel cinco estrellas.
SPA FACIAL
Tratamiento de limpieza profunda e hidratación.



Tu Nueva Sonrisa en 3 Simples Pasos
En el consultorio de la Dra. Jare Sánchez, hemos optimizado nuestro protocolo para brindarte una experiencia ágil y de clase mundial. Así es como logramos tu transformación:
01. Consulta Virtual de Valoración
Todo comienza desde la comodidad de tu casa, sin importar en qué lugar del mundo te encuentres. A través de una videollamada y el envío de fotografías, realizamos un diagnóstico preliminar para entender tus objetivos, evaluar tu salud oral y proponerte un plan de tratamiento personalizado antes de tu viaje.
02. Agenda tu Estadía (4 a 6 Días)
La excelencia requiere precisión. Para garantizar resultados estéticos perfectos y funcionales, necesitamos que dispongas de entre 4 a 6 días en Cali. Durante este tiempo, realizaremos las pruebas clínicas, el diseño, la preparación y la cementación final, asegurando que cada detalle cumpla con nuestros altos estándares de calidad.
PACIENTES SATISFECHOS
DRA. JARE SANCHEZ
"Pacientes felices"



